ประเทศร่ำรวยมีอัตราคนเป็นอัลไซเมอร์ชะลอลง

ปารีส 19 ก.ย.- ผลการศึกษาใหม่ชี้ว่า ประเทศร่ำรวยมีอัตราคนเป็นอัลไซเมอร์รายใหม่ชะลอลงจากที่ผ่านมา บ่งชี้ว่าการมีคุณภาพชีวิตที่ดีขึ้นอาจช่วยป้องกันการเป็นโรคสมองเสื่อมชนิดนี้ได้


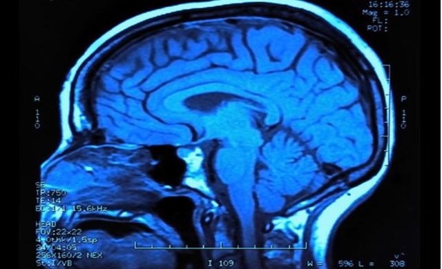
วารสารเนเจอร์คอมมูนิเคชันฉบับเดือนเมษายนรายงานว่า ปีที่แล้วอังกฤษมีผู้ป่วยอัลไซเมอร์รายใหม่ 209,000 ราย ลดลงถึงร้อยละ 20 และต่ำกว่าที่คาดการณ์ในปี 2534 ว่าจะมี 251,000 รายจากแนวโน้มประชากรสูงวัยที่เพิ่มขึ้น บ่งชี้ว่าคนวัย 65 ปีขึ้นในอังกฤษมีแนวโน้มเป็นอัลไซเมอร์น้อยกว่าคนรุ่นก่อน แต่ยังไม่ทราบสาเหตุที่แน่ชัดว่าเกิดจากอะไร นักวิจัยบางคนคาดว่า อาจเป็นผลจากการมีสุขภาพหัวใจและหลอดเลือดหัวใจแข็งแรงขึ้น อันเกิดจากการตระหนักถึงอันตรายของการสูบบุหรี่ การเป็นโรคอ้วนและการไม่ออกกำลังกาย บางคนชี้ว่าอาจเป็นผลจากการรับประทานยาควบคุมความดันโลหิตสูงและคอเลสเตอรอล หรือการทำกิจกรรมกระตุ้นการทำงานของสมอง

องค์การอนามัยโลกเผยว่า ทั่วโลกมีผู้ป่วยสมองเสื่อม 47.5 ล้านคน เป็นผู้ป่วยใหม่ปีละ 7.7 ล้านคน สาเหตุของการเป็นโรคสมองเสื่อมมากที่สุดคืออัลไซเมอร์ คิดเป็นร้อยละ 60-70 ของผู้ป่วยสมองเสื่อมทั้งหมด อาการเริ่มจากการหลงลืมไปจนถึงสูญเสียความจำและต้องมีคนดูแลตลอดเวลาเพราะไม่รู้ทั้งเรื่องเวลาและสถานที่ ท้ายที่สุดผู้ป่วยอัลไซเมอร์อาจถึงขั้นไม่รู้วิธีรับประทานอาหาร วงการแพทย์รู้จักโรคนี้มานานกว่าร้อยปีแล้ว แต่ยังไม่สามารถหาวิธีรักษาและสาเหตุที่แน่ชัด เชื่อกันว่าสาเหตุหนึ่งเกิดจากแผ่นคราบโปรตีนสะสมในสมอง ขณะที่ผลการศึกษาเมื่อไม่นานมานี้โยงว่าอาจเกิดจากมลภาวะทางอากาศ เชื้อรา หรืออุบัติเหตุระหว่างการรักษา.- สำนักข่าวไทย


ดูข่าวเพิ่มเติม

Top Viewed • อ่านมากสุด

ดูทั้งหมด

หนุ่มซิ่งกระบะชนเสาไฟฟ้าล้มขวางถนน 12 ต้น

ชลบุรี 28 ก.ย. – หนุ่มซิ่งกระบะพุ่งชนเสาไฟฟ้า บนถนนสายบึง-บ่อวิน อ.ศรีราชา จ.ชลบุรี ล้มขวางถนน 12 ต้น ทำให้ไฟฟ้าดับตลอดแนว รวมทั้งต้องปิดการสัญจรตลอดทั้งวัน คาดจะกลับมาเปิดการจราจรตามปกติได้วันพรุ่งนี้ (29 ก.ย.) รถกระบะพุ่งชนเสาไฟฟ้า บนถนนสายบึง-บ่อวิน ต.บ่อวิน อ.ศรีราชา จ.ชลบุรี ล้มขวางถนน 12 ต้น เป็นเสาไฟฟ้าแรงสูง 6 ต้น เสาไฟฟ้าสูง 12 เมตร อีก 6 ต้น ระยะทาง 500 เมตร โชคดีนายสิทธิพงษ์ อายุ 41 ปี คนขับ บาดเจ็บเล็กน้อย แต่ทำให้ไฟฟ้าดับตลอดแนว รวมทั้งต้องปิดการสัญจรบนถนนสายบึง-บ่อวิน ตลอดทั้งวัน คาดว่าจะกลับมาเปิดการจราจรตามปกติได้วันพรุ่งนี้ (29 ก.ย.) จากการสอบสวนทราบว่า นายสิทธิพงษ์ เพิ่งเลิกงาน ขับรถกลับบ้านด้วยความเร็ว อาจหลับใน ทำให้รถเปลี่ยนเลนข้ามไปชนกับเสาไฟฟ้าอีกฝั่ง ส่วนความเสียหายยังประเมินค่าไม่ได้.-สำนักข่าวไทย

“อนุทิน” ร่วมงานศพพ่อ “อัครเดช” โชว์หวานยกความสัมพันธ์จีบเข้า ภท.

ราชบุรี 28 ก.ย.- “อนุทิน” ร่วมสวดอภิธรรมศพพ่อ “สส.อัครเดช” โชว์หวานยกความสัมพันธ์จีบเข้าภูมิใจไทย ลั่นได้ส่งจิตขออนุญาตคุณพ่อแล้ว นายอนุทิน ชาญวีรกูล นายกรัฐมนตรีและรัฐมนตาีว่าการกระทรวงมหาดไทย พร้อมด้วยนายนภินทร ศรีสรรพางค์ รัฐมนตรีประจำสำนักนายกรัฐมนตรี นายศักดา วิเชียรศิลป์ รัฐมนตรีช่วยว่าการกระทรวงมหาดไทย นายสรอรรถ กลิ่นประทุม อดีต สส.บัญชีรายชื่อ พรรคภูมิใจไทย ได้ร่วมไว้อาลัยและสวดอภิธรรมศพ คุณพ่อวุฒิพงศ์ วงษ์พิทักษ์โรจน์ บิดาของนายอัครเดช วงษ์พิทักษ์โรจน์ สส.ราชบุรี พรรครวมไทยสร้างชาติ เมื่อค่ำวันที่ 27 ก.ย. ที่จังหวัดราชบุรี โดยมีผู้ว่าราชการจังหวัดราชบุรี หัวหน้าส่วนราชการ และประชาชนกว่า 2,000 ร่วมพิธีโดยเป็นการสวดอภิธรรมเป็นคืนที่ 4 และจะมีพิธีบรรจุศพในวันที่ 30 ก.ย. นี้ ในช่วงท้าย นายอนุทิน ได้กล่าวกับผู้ที่ร่วมสวดอภิธรรมศพ ว่า ตนเองมีความสนิทสนมกับ นายอัครเดช มาหลายปีแล้ว นายอัครเดชเป็นคนมีความวิริยะอุสาหะ ตั้งใจทำงานให้พี่น้องประชาชน ตนมีความชื่นชมและศรัทธา ในความขัยนขันแข็งของท่าน ยิ่งไปกว่านั้นการปฏิบัติหน้าที่ในสภาผู้แทนราษฎร ท่านก็ทำหน้าที่ได้ดีเป็นดาวสภา […]

โซเชียลแห่ชื่นชม “สีหศักดิ์” กร้าว เวที UNGA

กรุงเทพฯ 28 ก.ย. – โซเชียลแห่ชื่นชม “สีหศักดิ์” กร้าว เวที UNGA หลัง “อนุทิน” มอบดาบการทูตสู้กัมพูชา ขณะนายกฯ ย้ำยึดสันติในการแก้ปัญหา เพื่อประโยชน์ของประเทศ ภายหลังจากที่นายสีหศักดิ์ พวงเกตุแก้ว รัฐมนตรีว่าการกระทรวงการต่างประเทศ กล่าวในเวทีการประชุมสมัชชาสหประชาชาติ หรือ UNGA สมัยสามัญ ครั้งที่ 80 ที่นครนิวยอร์ก ทำให้กระแสโซเชียลในประเทศไทย พึงพอใจกับการทำหน้าที่รัฐมนตรีว่าการกระทรวงการต่างประเทศ ในรัฐบาลของนายอนุทิน ชาญวีรกูล นายกรัฐมนตรี เป็นอย่างมาก ทั้งนี้ การเดินทางไปเวที UNGA ของนายสีหศักดิ์ ครั้งนี้ยึดแนวทางแก้ปัญหาความมั่นคงและการต่างประเทศ ที่นายอนุทิน มอบหมายให้ดำเนินการ โดยใช้มาตรการทางการทหารควบคู่กับการทูต เพื่อรักษาอธิปไตยอย่างสันติ เพื่อผลประโยชน์ของประชาชน โดยเฉพาะในกรณีพิพาทไทย-กัมพูชา ขณะที่นายอนุทิน เชื่อว่า การกล่าวถ้อยแถลงในที่ประชุม UNGA ของนายสีหศักดิ์ ทำให้คนไทยมีความเชื่อมั่นอย่างชัดเจนต่อจุดยืนของรัฐบาล สำหรับนโยบาย 4 เดือน 4 ภารกิจหลัก คืนความมั่นใจให้ประเทศไทย ตามนโยบายรัฐบาลของนายอนุทิน […]

กรมอุตุฯ เตือนฝนถล่มทั่วไทย รับมืออิทธิพลพายุบัวลอย

กทม. 28 ก.ย.- กรมอุตุฯ เตือนทั่วไทยรับมือฝนถล่ม อาจเกิดน้ำท่วมฉับพลัน น้ำป่าไหลหลาก และน้ำล้นตลิ่ง จับตาอิทธิพลพายุไต้ฝุ่น “บัวลอย” คาดเคลื่อนขึ้นฝั่งเวียดนามตอนบน พรุ่งนี้ (29 ก.ย.) กรมอุตุนิยมวิทยาเผยประเทศไทยมีฝนตกหนักหลายพื้นที่ และมีฝนตกหนักถึงหนักมากบางแห่งบริเวณภาคตะวันออกเฉียงเหนือ และภาคตะวันออก โดยเฉพาะบริเวณจังหวัดสกลนคร นครพนม อุดรธานี ขอนแก่น กาฬสินธุ์ มุกดาหาร จันทบุรี และตราด ขอให้ประชาชนบริเวณประเทศไทยตอนบนระวังอันตรายจากฝนตกหนักถึงหนักมากและฝนที่ตกสะสม ซึ่งอาจทำให้เกิดน้ำท่วมฉับพลัน น้ำป่าไหลหลาก และน้ำล้นตลิ่ง โดยเฉพาะพื้นที่ลาดเชิงเขาใกล้ทางน้ำไหลผ่าน พื้นที่ลุ่ม และพื้นที่น้ำท่วมขัง เนื่องจากร่องมรสุมกำลังแรงพาดผ่านภาคเหนือตอนล่าง ภาคกลางตอนบน และภาคตะวันออกเฉียงเหนือตอนล่าง ประกอบกับมรสุมตะวันตกเฉียงใต้กำลังแรงพัดปกคลุมทะเลอันดามัน ภาคใต้ และอ่าวไทย สำหรับคลื่นลมบริเวณทะเลอันดามันและอ่าวไทยมีกำลังแรง โดยทะเลอันดามันตอนบนมีคลื่นสูง 2-3 เมตร บริเวณที่มีฝนฟ้าคะนองคลื่นสูงมากกว่า 3 เมตร ส่วนทะเลอันดามันตอนล่างและอ่าวไทยตอนบนมีคลื่นสูงประมาณ 2 เมตร บริเวณที่มีฝนฟ้าคะนองคลื่นสูงประมาณ 2 เมตร ขอให้ชาวเรือเดินเรือด้วยความระมัดระวัง และหลีกเลี่ยงการเดินเรือในบริเวณที่มีฝนฟ้าคะนอง อนึ่ง พายุไต้ฝุ่น […]

ข่าวแนะนำ

สีสัน! อภิปรายนโยบายรัฐบาลวันแรก

29 ก.ย.- การแถลงนโยบายรัฐบาลวันนี้ เหมือนเป็นการซ้อมศึกซักฟอกย่อย เพราะมีการตอบโต้และตั้งฉายามากมาย ติดตามสีสันการอภิปรายนโยบายฯ วันแรก .-สำนักข่าวไทย

เตรียมรับมือพายุบัวลอย คาดฝนหนักคืนนี้

29 ก.ย.- หลายพื้นที่เฝ้าระวังฝนตกหนัก จากอิทธิพล #พายุบัวลอย เชียงใหม่เปิดประตูระบายน้ำทุกจุด เร่งระบายน้ำปิงลงทะเลสาบดอยเต่า พร่องน้ำในเขื่อนแม่งัดฯ เตรียมรับน้ำฝน คาดตกหนักคืนนี้ ขณะที่ จ.นครราชสีมา น้ำล้นสปิลเวย์ เตือนประชาชนระวังน้ำท่วมฉับพลัน พายุฝนตกกระหน่ำหลายพื้นที่จังหวัดสระแก้ว โดยพื้นที่ ต.บ้านแก้ง อ.เมืองสระแก้ว นายก อบต.บ้านแก้ง พร้อมผู้นำชุมชน และอาสาสมัครกู้ภัย ได้นำเรือเครื่องยนต์ท้องแบน เข้าช่วยเหลือ ตาชู-ยายทองคำ และสุนัข 1 ตัว ออกจากบ้านที่โดนน้ำป่าไหลหลาก เข้าท่วมเกือบมิดหลังคา  มาอยู่ในที่ปลอดภัย ยายทองคำ เล่าว่าเมื่อคืนพักอยู่กับตาและหมา กำลังจะเข้านอนแต่ก็มีฝนตกตลอดทั้งคืน น้ำที่คลองก็ยังไม่เห็นว่าจะขึ้นล้นตลิ่งเท่าไร แต่ก็กังวล จึงเฝ้าดูกระทั่งน้ำไหลมาและเข้าท่วม ตกใจ จึงได้นำสุนัขขึ้นบนบ้าน ส่วนข้าวของก็เก็บไม่ทัน จากนั้นจึงอยู่แต่บนบ้านจนถึงเช้า กู้ภัยมาช่วยนำออกมาจากบ้าน อยู่มาหลายสิบปีไม่เคยเจอแบบนี้มาก่อนเลย  ผู้ว่าฯ เชียงใหม่ เตรียมรับมือพายุบัวลอย คาดตกหนักคืนนี้ เมื่อช่วงเย็นที่ผ่านมา หลายพื้นที่เชียงใหม่ เริ่มมีฝนตกลงมาบ้างแล้ว ระดับน้ำในลำน้ำปิงที่ไหลผ่านตัวเมืองเชียงใหม่ ที่จุดวัดพี1 เชิงสะพานนวรัฐ ยังอยู่ที่ 2 เมตร 49 เซนติเมตร ต่ำกว่าจุดวิกฤติแจ้งเตือนที่ […]

แถลงนโยบายวันแรกเดือด ประท้วงกันวุ่น

29 ก.ย.- สภาเดือด! แถลงนโยบายรัฐบาลวันแรก อภิปรายตอบโต้-ประท้วงกันเป็นระยะ เมื่อมีการพาดพิงปมเขากระโดง-ฮั้ว สว. แต่ประธานฯ คุมสถานการณ์ได้ ด้านนายกฯ ไม่กังวลวาทกรรมของฝ่ายค้าน ชี้ประเด็นซ้ำๆ และมีการแถลงข้อเท็จจริงไปแล้ว -สำนักข่าวไทย

ฝ่าดงทุ่นระเบิดเคลียร์พื้นที่บ้านชำราก “ผลักดัน-รื้อถอน”

29 ก.ย.- ทหารเรือฝ่าดงทุ่นระเบิดเข้าเคลียร์พื้นที่บ้านชำราก จ.ตราด ผลักดันกำลังฝ่ายตรงข้าม-รื้อถอนสิ่งปลูกสร้าง 3 หลัง รุกล้ำเขตอธิปไตยไทย ขณะที่ชาวบ้านหนองจาน จ.สระแก้ว นำอาหารมอบให้ทหารแนวหน้า ยังไม่พบความเคลื่อนไหวผิดปกติ พลเรือเอก จิรพล ว่องวิทย์ ผู้บัญชาการทหารเรือ และพลเรือเอก ไพโรจน์ เฟื่องจันทร์ ว่าที่ ผู้บัญชาการทหารเรือ คนใหม่ มอบหมายพลเรือโทอภิชาติ ทรัพย์ประเสริฐ ผู้บัญชาการหน่วยบัญชาการนาวิกโยธิน และผู้บัญชาการกองกำลังป้องกันชายแดนจันทบุรี-ตราด (กกล.กปช.จต.) เข้าเคลียร์พื้นที่ชายแดนบ้านชำราก อันเป็นอธิปไตยของไทย โดยหน่วยเฉพาะกิจนาวิกโยธินตราด กองกำลังป้องกันชายแดนจันทบุรีตราด จึงได้ผลักดันกองกำลังกัมพูชา ออกจากพื้นที่บริเวณตรงข้ามบ้านหนองรี ตำบลชำราก ไม่มีกำลังฝ่ายกัมพูชาวางกำลังแล้ว ผลจากการปฏิบัติการ บรรลุเป้าหมายสำคัญ คือ สามารถทำลายสิ่งปลูกสร้างทั้ง 3 หลังลงได้อย่างสิ้นเชิง ที่สำคัญที่สุดคือ สามารถผลักดันกำลังฝ่ายตรงข้ามให้ออกจากพื้นที่รุกล้ำได้อย่างสมบูรณ์ ประชาชนนำอาหารมอบทหารแนวหน้า บ้านหนองจาน จ.สระแก้ว ส่วนที่บ้านหนองจาน จังหวัดสระแก้ว บรรยาศเงียบเหงา แต่ยังคงมีประชาชนเดินทางนำอาหาร เช่น ไข่ไก่ น้ำดื่ม นำมามอบให้กับทหารแนวหน้า ถึงแม้จะไม่คึกคักเหมือนวันก่อนๆ […]