
จ่อยื่นฟ้องปมหมอฟันลืมนำหัวกรอฟันออกจากเหงือก
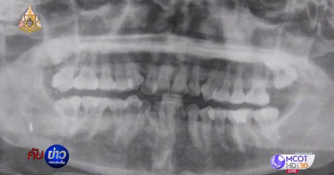
หญิงวัย 34 ปี เตรียมยื่นฟ้องผู้บริหาร ก.สาธารณสุข กรณีทันตแพทย์ลืมหัวกรอฟันไว้ในเหงือกนาน 5 ปี
หญิงวัย 34 ปี เตรียมยื่นฟ้องผู้บริหาร ก.สาธารณสุข กรณีทันตแพทย์ลืมหัวกรอฟันไว้ในเหงือกนาน 5 ปี
ผ่านพ้นไปด้วยดีกับเคสการผ่าตัดนำหัวกรอฟันที่ฝังในเหงือกคนไข้สร้างความทรมานนานกว่า 5 ปี มาเปิดไทม์ไลน์ย้อนดูเหตุการณ์ตั้งเเต่เริ่มกัน!
ความคืบหน้า กรณีหมอลืมหัวกรอฟันในเหงือกนางกฤติกานาน 5 ปี ล่าสุดทันตแพทย์ มหาวิทยาลัยขอนแก่น ผ่าออกแล้ว
หญิงวัย 33 ปี ผ่าฟันคุดออก แต่ทันตแพทย์ลืมหัวหรอฟันติดอยู่ในเหงือกนาน 5 ปี จนลิ้นรับรสไม่ได้ วอนหน่วยงานที่เกี่ยวข้องช่วยเหลือรับผิดชอบ