13 เมษายน 2566
ตรวจสอบข้อเท็จจริงโดย : Taiwan FactCheck Center (ไต้หวัน)
แปลและเรียบเรียงบทความ : อดิศร สุขสมอรรถ
ตรวจทานและพิสูจน์อักษร : คมส์ธนนท์ ศุขอัจจะสกุล
ประเภทข่าวปลอม : ทำให้เข้าใจผิด
บทสรุป :
- ฝ้าจางชนิด GGO ที่ปอด สามารถเกิดได้จากการติดเชื้อชนิดต่างๆ ไม่จำเป็นต้องเป็นโควิด-19 เสมอไป
- นอกจากนี้ เชื้อไวรัสโอไมครอนสามารถส่งผลเสียต่อปอดได้ หากผู้ติดเชื้อไม่ได้รับวัคซีนอย่างเหมาะสม
- การตรวจสอบไม่พบว่า มีไวรัสโควิด-19 สายพันธุ์ใหม่ระบาดในเมืองจีนแต่อย่างใด
ข้อมูลที่ถูกแชร์ :
มีข้อมูลบิดเบือนแพร่ทางสื่อสังคมออนไลน์ในในสาธารณรัฐประชาชนจีน โดยอ้างว่าไวรัสโควิด-19 ที่กำลังแพร่ระบาดในเมืองจีน ไม่ใช่สายพันธุ์โอไมครอนอีกต่อไป เนื่องจากภาพเอกซเรย์พบผู้ป่วยที่มีฝ้าที่ปอดอย่างมากจนปอดกลายเป็นสีขาว คาดว่าอาจจะเป็นผลจากการติดเชื้อโควิด-19 สายพันธุ์เดลต้าหรือสายพันธุ์อู่ฮั่นที่มีความรุนแรงยิ่งกว่าสายพันธุ์โอไมครอน

FACT CHECK : ตรวจสอบข้อเท็จจริง :
จินตงเยียน ศาสตราจารย์ภาควิชาชีวการแพทย์ มหาวิทยาลัยฮ่องกง (University of Hong Kong) ยืนยันว่า ไม่มีหลักฐานพบการระบาดของไวรัสโควิด-19 สายพันธุ์เดลต้าในประเทศจีนแต่อย่างใด
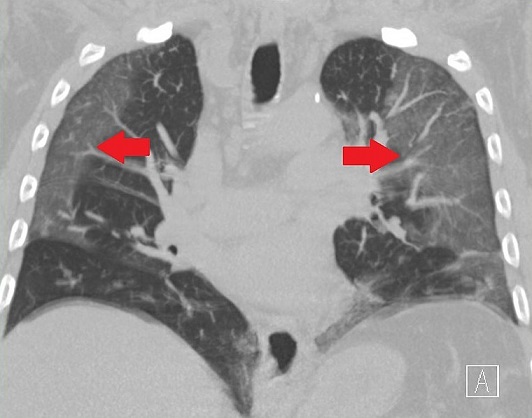
จินตงเยียน ชี้แจงว่าภาพเอกซเรย์ปอดมีฝ้าสีขาวจำนวนมากที่แชร์ทางสื่อสังคมออนไลน์ คือ ภาพเอกซเรย์ปอดที่บ่งบอกการมีอยู่ของรอยโรคชนิดที่เรียกว่า Ground-glass opacity (GGO) ซึ่งมีชื่อในภาษาไทยว่า รอยทึบแบบกระจกฝ้า หรือ ฝ้าจาง
GGO คือรอยโรคในปอดที่พบได้มากในผู้ป่วยโควิด-19 ที่มีอาการไวรัสลงปอด โดยผลเอกซเรย์หรือ CT Scan จะพบฝ้าสีขาวจางที่บริเวณปอด โดยภาพเอกซเรย์ปอดปกติจะเป็นสีทึบ แต่ปอดที่มีของเหลวหรือพังผืดเข้าไปแทนที่อากาศ ทำให้ปอดมีความหนาแน่นที่เพิ่มขึ้น เมื่อทำการเอกซเรย์ปอด ภาพที่ออกมาจะเปลี่ยนจากสีทึบกลายเป็นสีขาวจาง

และภาพเอ็กซเรย์ปอดที่ติดเชื้อ
อย่างไรก็ดี การเกิดฝ้าจางชนิด GGO ไม่จำกัดเฉพาะผู้ป่วยที่ติดเชื้อโควิด-19 เท่านั้น สาเหตุการเกิดฝ้าจางชนิด GGO ที่ปอดมีหลายปัจจัย รวมถึงการติดเชื้อต่อระบบทางเดินหายใจอื่น ๆ รวมถึงการติดเชื้อแบคทีเรียที่ก่อให้เกิดวัณโรคเช่นกัน
ข้อมูลทางการแพทย์ระบุว่า ฝ้าจางชนิด GGO หากปล่อยให้ลุกลามอาจเป็นอันตรายถึงชีวิต และยังสามารถเกิดได้แม้แต่ผู้ติดเชื้อโควิด-19 ที่ไม่มีอาการ อย่างไรก็ดี รอยฝ้าจางสามารถหายได้เองเมื่ออาการป่วยทุเลาลง และจะไม่ส่งผลเสียต่อปอดในระยะยาว

จินตงเยียน ย้ำว่า โอกาสที่ผู้ติดเชื้อไวรัสโอไมครอนจะมีฝ้าจางชนิด GGO ที่ปอดเกิดขึ้นได้ยาก ส่วนการเกิดฝ้าจางจำนวนมากจนปอดกลายเป็นสีขาวทั้งหมดยิ่งพบได้ยากยิ่งกว่า การฉีดวัคซีนอย่างเหมาะสมและการใช้ยาต้านไวรัสอย่างทันท่วงทีเมื่อพบการติดเชื้อ ช่วยป้องกันความเสียหายของปอดจากการเกิดฝ้าจางชนิด GGO ได้
ชูหนานชาง ประธานสมาคมโรคติดเชื้อในเด็กของไต้หวัน ย้ำว่า แม้เชื้อไวรัสโควิด-19 สายพันธุ์โอไมครอนมักจะส่งผลต่อระบบทางเดินหายใจส่วนบน ซึ่งมีอาการไม่รุนแรง แต่ก็ไม่ได้หมายความว่า การติดเชื้อไวรัสโอไมครอนจะไม่เกิดปัญหาต่อระบบทางเดินหายใจส่วนล่าง หรืออาการปอดอักเสบได้เช่นกัน
ชูหนานชาง วิเคราะห์ว่า สาเหตุที่ผู้คนส่วนใหญ่ไม่มีอาการป่วยรุนแรงจากไวรัสโอไมครอน เพราะผู้คนเหล่านั้นอยู่ในประเทศที่ได้รับวัคซีนที่เหมาะสมและทั่วถึง ต่างจากประชาชนในประเทศจีน ที่เขามองว่าได้รับวัคซีนที่มีประสิทธิภาพด้านการป้องกันโรคที่น้อยกว่า รวมถึงอัตราการฉีดวัคซีนในผู้สูงอายุก็เป็นไปอย่างไม่ทั่วถึง จึงเป็นไปได้ที่จะพบผู้ป่วยชาวจีนที่ติดเชื้อไวรัสโอไมครอนแล้วมีอาการปอดอักเสบ
ความท้าทายของการประเมินสถานการณ์การแพร่ระบาดไวรัสโควิด-19 ในประเทศจีน มาจากการขาดความโปร่งใสด้านการติดตามการแพร่ระบาดของไวรัส ทำให้ข้อมูลขาดความน่าเชื่อถือ จึงยากที่จะบอกได้ว่าเกิดการกลายพันธุ์ของไวรัสโควิด-19 ในประเทศจีนหรือไม่
มาตรการที่ช่วยได้ คือการตรวจสอบเชื้อจากนักท่องเที่ยวชาวจีนที่มีผลตรวจไวรัสโควิด-19 เป็นบวก เพื่อหาลำดับพันธุกรรมของไวรัสและยืนยันสายพันธุ์ของไวรัสต่อไป
ทีมกลไกการป้องกันและควบคุมการแพร่ระบาดของไวรัสโควิด-19 ของประเทศจีน (Joint Prevention and Control Mechanism of the State Council) ออกแถลงการณ์เมื่อวันที่ 20 ธันวาคม 2022 โดยระบุว่าไวรัสโควิด-19 สายพันธุ์หลักที่ระบาดในประเทศจีนขณะนั้นคือสายพันธุ์ BF.7 (ปักกิ่ง) และ BA.5.2 (เซี่ยงไฮ้และกว่างโจว) ส่วนสายพันธุ์ BQ.1 และ XBB พบการระบาดเพิ่มขึ้นในช่วง 3 เดือนที่ผ่านมา ล้วนเป็นสายพันธุ์ที่พบการแพร่ระบาดในต่างประเทศอยู่ก่อนแล้ว และไม่พบการระบาดของไวรัสโควิด-19 สายพันธุ์ใหม่ในประเทศจีนแต่อย่างใด
สอดคล้องกับข้อมูลของศูนย์ควบคุมการแพร่ระบาดของไต้หวัน (Central Epidemic Command Center) ที่รายงานเมื่อวันที่ 3 มกราคม 2023 ว่า พบนักท่องเที่ยวชาวจีนในไต้หวันมีผลตรวจไวรัสโควิด-19 เป็นบวกจำนวน 25 ราย มี 20 รายที่ติดเชื้อไวรัสโควิด-19 สายพันธุ์ BA.5 และอีก 5 รายติดเชื้อไวรัสโควิด-19 สายพันธุ์ BF.7
นอกจากนี้ ศูนย์ควบคุมและป้องการการแพร่ระบาดของเมืองอู่ฮั่น เปิดเผยข้อมูลเมื่อวันที่ 28 ธันวาคม 2022 เพื่อยืนยันว่า ตั้งแต่เดือนตุลาคม 2022 เป็นต้นมา ไวรัสโควิด-19 สายพันธุ์หลักที่แพร่ระบาดในเมืองอู่ฮั่นคือสายพันธุ์ BA.5.2 และไม่พบการระบาดของไวรัสโควิด-19 สายพันธุ์ใหม่แต่อย่างใด
ข้อมูลอ้างอิง :
https://tfc-taiwan.org.tw/articles/8616
หากได้รับอะไรมา อย่าเพิ่งแชร์ต่อ ส่งมาตรวจสอบกับ “ศูนย์ชัวร์ก่อนแชร์”
LINE :: @SureAndShare หรือคลิก http://line.sure.guru
FB :: https://www.facebook.com/SureAndShare
YouTube :: https://www.youtube.com/@SureAndShare
Twitter :: https://www.twitter.com/SureAndShare
IG :: https://instagram.com/SureAndShare
Website :: http://www.ชัวร์ก่อนแชร์.com
TikTok :: https://www.tiktok.com/@sureandshare
สมัครรับฟรี ชัวร์ก่อนแชร์ Newsletter ส่งถึงกล่องอีเมลของคุณทุกสัปดาห์ :: https://i.sure.guru/sureandshareNewsletter