สธ. 9 ต.ค. – กรมการแพทย์ โดยสถาบันทันตกรรมชี้อะมัลกัมทางทันตกกรรม ไม่มีผลต่อสุขภาพ หรือผลข้างเคียงไม่พึงประสงค์ต่อร่างกาย ควรได้รับการดูแลโดยทันตแพทย์ผู้เชี่ยวชาญอย่างถูกวิธี วัสดุที่ใช้ภายในช่องปากต้องเหมาะสมและได้มาตรฐานสำหรับการรักษา
นายแพทย์ไพโรจน์ สุรัตนวนิช รองอธิบดีกรมการแพทย์ กล่าวว่า ปัจจุบันมีรายงานข่าวในสื่อออนไลน์ พบว่ามีการเผยแพร่ข้อมูลเกี่ยวกับอะมัลกัม วัสดุที่ใช้ในการรักษาทางทันตกรรม มีผลกระทบต่อสุขภาพและความผิดปกติของร่างกาย เช่น เส้นเลือดในสมองตีบ โรคอัลไซเมอร์ โรคซึมเศร้า เป็นต้น ซึ่งเป็นข้อมูลที่ไม่ถูกต้องและทำให้ประชาชนเกิดความสับสน โดยอะมัลกัม เป็นวัสดุทางทันตกรรมที่นำมาใช้ในการบูรณะฟัน ซึ่งมีการนำมาใช้อย่างยาวนานและแพร่หลาย ไม่พบว่ามีความเสี่ยงต่อการเกิดโรคต่อสุขภาพ หรือมีผลข้างเคียงไม่พึงประสงค์ต่อร่างกาย ในบางรายอาจพบการตอบสนองเฉพาะที่ (Local adverse effect) ได้บ้างแต่ไม่มากนัก และสามารถจัดการรักษาได้ ทั้งนี้การใส่ใจดูแลสุขภาพช่องปากและฟันเป็นสิ่งสำคัญ ควรไปพบทันตแพทย์เพื่อรับการตรวจวินิจฉัยและรักษาก่อนอาการจะลุกลาม

ทันตแพทย์หญิง ดร.สุมนา โพธิ์ศรีทอง ผู้อำนวยการสถาบันทันตกรรม กล่าวเพิ่มเติมว่า การอุดฟันเป็นการรักษาหรือบูรณะฟันที่เกิดความเสียหาย เช่น ฟันผุ ฟันเป็นรู ฟันที่แตก ฟันบิ่น ฟันที่มีรอยสึก ให้กลับมาอยู่ในสภาพที่ใช้งานได้ มีรูปร่างลักษณะเหมือนเดิมหรือใกล้เคียงฟันเดิม ใช้งานได้อย่างมีประสิทธิภาพ และควรได้รับการดูแลโดยทันตแพทย์ผู้เชี่ยวชาญอย่างถูกวิธี วัสดุที่ใช้ภายในช่องปากต้องเหมาะสมและได้มาตรฐานสำหรับการรักษา นอกจากนี้ควรหมั่นดูแลสุขภาพช่องปาก โดยแปรงฟันทุกวัน ๆ ละ 2 ครั้ง ด้วยยาสีฟันที่มีส่วนผสมของฟลูออไรด์ ร่วมกับการใช้ไหมขัดฟันทำความสะอาดซอกฟัน ตลอดจนควรพบทันตแพทย์อย่างน้อยปีละ 2 ครั้ง
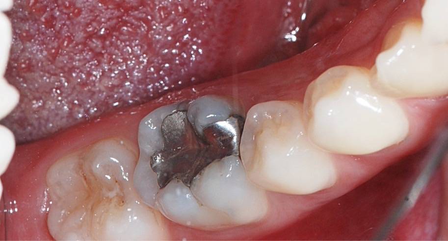
ด้านทันตแพทย์หญิงณัฐพจี นรเศรษฐ์ตระกูล ทันตแพทย์ชำนาญการ สาขาทันตกรรมหัตถการ สถาบันทันตกรรม กล่าวถึง อะมัลกัมที่ใช้รักษาทางทันตกรรม เป็นวัสดุบูรณะที่เกิดจากโลหะผสมอัลลอย เข้ากับปรอท โดยมีส่วนประกอบของโลหะหลายชนิด เช่น เงิน ทองแดง ดีบุก เป็นต้น และเมื่อผสมกับปรอท ทำให้เกิดปฏิกิริยาก่อตัวของวัสดุ โดยวัสดุอะมัลกัมจัดเป็นวัสดุที่มีความแข็งแรง ทนทานต่อแรงกดและแรงดึงเป็นอย่างดี ราคาถูก อายุการใช้งานยาวนาน ทำให้อะมัลกัมจึงยังเป็นตัวเลือกที่ดีในการบูรณะฟันในหลาย ๆ กรณี ทั้งนี้ ในผู้ป่วยที่ใช้วัสดุอะมัลกัมในการอุดฟัน ทันตแพทย์จะเป็นผู้วินิจฉัยถึงความจำเป็นในการรื้อวัสดุอุดอะมัลกัมออกหรือไม่ ตามความเหมาะสม ซึ่งภายหลังจากการบูรณะฟันแล้ว ควรหมั่นดูแลรักษาสุขภาพช่องปากตนเอง หากพบปัญหาสุขภาพช่องปากและฟัน ควรพบทันตแพทย์เพื่อตรวจรักษาได้ทันท่วงที. -สำนักข่าวไทย