10 ก.ย. – แม่หลงดีใจคิดว่าลูกอารมณ์ดี หัวเราะบ่อยแบบไม่มีสาเหตุ สุดท้ายพบเป็นอาการชักเกร็งเนื่องจากมีเนื้องอกในสมอง ต้องผ่าตัดทันที
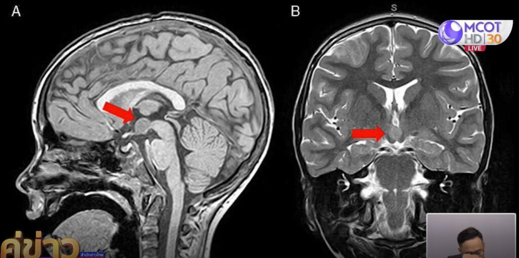
คลิปที่กำลังถูกแชร์ในโลกออนไลน์และผู้คนให้กำลังใจเป็นจำนวนมากเป็นคลิปของคุณแม่ผู้ใช้บัญชี TikTok @poyautchara ที่แชร์วิดีโอลูกชายหัวเราะไม่หยุด พร้อมทั้งระบุข้อความว่า “เมื่อเสียงหัวเราะของลูกเป็นเสียงที่เราไม่อยากได้ยินอีกต่อไป Hypothalamic Hamartoma เนื้องอกหัวเราะ จุดกำเนิดอาการชักแบบหัวเราะ เด็กจะหัวเราะเองโดยไม่มีสาเหตุ หัวเราะต่อเนื่องนาน ลูกหัวเราะแบบนี้มานานมาก หลงคิดว่าลูกเป็นเด็กอารมณ์ดี” พร้อมทิ้งท้ายว่า “ขอโทษนะครับ ขอโทษที่ทำให้ลูกเกิดมาเจอเรื่องร้ายๆ แบบนี้ ไม่ใช่คอนเทนต์ แต่นี่คือชีวิตจริง เป็นคลิปที่นองน้ำตา สู้ไปด้วยกันนะลูก”

หลังจากคลิปดังกล่าวเผยแพร่ออกไป ชาวเน็ตต่างเข้ามาแสดงความคิดเห็น พร้อมทั้งให้กำลังใจหนูน้อย ให้การรักษาเป็นไปได้ด้วยดีและผ่านไปอย่างปลอดภัย

ต่อมาเจ้าของคลิปได้เขียนข้อความเล่าให้ชาวเน็ตฟังว่า ในช่วง 3 เดือนที่ผ่านมา น้องมีอาการหัวเราะไม่มีสาเหตุ ตามมาด้วยชักเกร็งกระตุกทั้งตัว ครั้งแรกที่เห็นคือช็อกมาก บอกใครไม่มีใครเชื่อ คนที่บ้านคิดว่าน้องแกล้งทำเล่น เพราะน้องเป็นคนขี้เล่นมาก แต่คนเป็นแม่ดูออก เลยถ่ายคลิปไปให้คุณหมอดู หมอส่งตรวจคลื่นสมองและตรวจ MRI จึงพบเนื้องอกในสมอง

สำหรับการรักษาตอนนี้น้องอยู่ในขั้นตอนปรับยาอีก 1 ตัว ถ้าอาการไม่ดีขึ้นอาจจะต้องฝังอิเล็กโทรดในสมอง หมอนัดทุกเดือน ทั้งหมอศัลยกรรม หมอนิวโร หมอต่อมไร้ท่อ หนทางการรักษายังอีกยาวไกล.-สำนักข่าวไทย